
医生为患儿做手术 采访对象供图(下同)
新民晚报讯(记者 左妍)近日,上海市儿童医院心胸外科收治了一例侵犯椎间孔的纵膈神经节细胞瘤患儿,多学科团队共同开展手术,在胸腔镜辅助下,不仅完整摘除肿瘤,同时有效保护了神经功能,也最大程度避免了术后的复发。患儿于近日顺利出院。
一一(化名)是一个8岁的男孩,从小开始一侧面部和对侧躯干就出汗少,家长未重视。2个月前左侧胸部出现针刺样疼痛,休息后疼痛会缓解。一周前因流行性感冒到儿童医院呼吸科门诊,胸部CT检查发现左侧纵膈内有一肿瘤,大小和鸡蛋差不多。呼吸科医生嘱托转心胸外科就诊收治入院后,经检查发现是神经来源肿瘤,明确了肿瘤位置在左侧后上纵膈胸椎旁。经过术前仔细的读片,发现肿瘤已经往椎间孔里生长,虽然还没有侵犯到脊髓,但是完整切除不仅难度大、而且容易损伤脊髓神经,也容易有肿瘤的残留导致术后复发。术前血液科会诊,完善相关检查均未能明确肿瘤病理性质,须手术治疗。
为此,心胸外科洪海筏主任、沈立主任联合神经外科刘剑钢主任,在胸腔镜辅助下,多学科联合手术,将纵膈内肿瘤连同椎间孔内肿瘤一并完整切除。

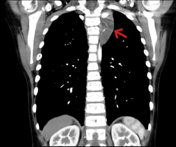
箭头所示为长入椎间孔之纵隔肿瘤
患儿术后病理诊断明确为节细胞神经瘤,经血液科再次会诊,无须化疗,患儿顺利回家并在门诊定期复查。
节细胞神经瘤不同于恶性的神经母细胞瘤,是少见的神经组织良性肿瘤,多源于交感神经神经系统,主要起源于脊髓旁的交感神经链节细胞。好发于肾上腺、腹膜后、后纵膈、颈部、盆腔等。儿童多见,早期多无症状与体征,体检时偶然发现。2/3患儿可表现一般的胸痛、腰痛、腹痛及肢体麻木,少数患者可出现霍纳综合征,表现为患侧无汗、眼睑下垂等。手术治疗是该类肿瘤主要的治疗方式,完整切除肿瘤后无需化疗,但由于该类肿瘤起源于神经节细胞,因此如果不能完全切除,肿瘤在神经走行的区域复发并不少见。而在椎间孔附近生长的肿瘤,后期甚至会侵犯脊髓形成椎管内肿瘤。多学科联合诊治纵隔神经来源肿瘤具有明显的优势,不仅完整切除了往椎间孔延伸的肿瘤,也避免了椎骨、神经和脊髓等重要组织的损伤。