大姨妈虽迟但到?体重上涨?青春已过,但青春痘还久久不愿离去?满心期待准备“造人大计”,却总是失望而归?如果你正在为这些情况而苦恼,那么,很可能需要检查一下是不是得了“多囊卵巢综合征”。
多囊卵巢综合征(PCOS),是育龄期女性最常见的生殖内分泌疾病,多好发于年轻女性。据统计,育龄期女性患病率约为4%-10%。多囊卵巢综合征究竟是何方神圣?罹患后应该如何干预、治疗呢?
1.多囊卵巢综合征——“相面识病”在现实生活中,PCOS的临床表现十分多样。但由于罹患这类疾病的女性绝大部分都有着类似的、由疾病引起的外部症状,所以临床医生在诊疗过程中练就了一身“相面诊病”的手艺,也就是俗称的“看面相”。

▲多毛:上唇、下颌、胸、背、小腹正中部、大腿上部两侧等部位,同时可伴痤疮、面部皮脂分泌过多等症状。
▲肥胖:PCOS患者肥胖的发生率为30%~60%,主要以腹型肥胖为主,常有“喝水都会长胖的”痛苦。
▲黑棘皮征:主要集中在颈背部、腋窝、腹股沟等皮肤皱褶处,出现皮肤增厚、灰棕色色素沉着等表现。
除上述症状外,罹患PCOS的女性还会存在月经失调、月经稀发、不孕等。若在“相面”并了解病史后,发现同时存在上述症状,医生会建议再行相应检查以最终诊断。值得注意的是,随着PCOS发病人群的日渐年轻化,若女性初潮后2-3年内仍存在月经稀少、闭经现象,且出现多毛现象,应警惕多囊卵巢综合征“警报”,及早前往专业机构进行干预和诊治。
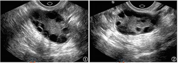
2.多囊卵巢综合征——“PCOS金标准”目前,国际上针对PCOS的诊断标准仍在不断完善,现行标准主要根据血生化和B超检查为主。血生化,主要检查体内性激素六项、抗缪勒管激素等内分泌激素水平是否超标,或有无胰岛素抵抗等代谢问题;B超检查判断一侧或双侧卵巢内,是否存在12个以上、直径2~9 mm的未成熟卵泡,以及卵巢体积是否≥10ml。

上述条件符合任意2条,并排除其他引起高雄激素或排卵异常的疾病后,就可诊断为PCOS。友情提示,许多女性在拿到检查报告后,常会看到“卵巢多囊状态”,误以为已经罹患PCOS。其实不然,卵巢多囊状态并不等于多囊卵巢综合征。
3. 多囊卵巢综合征——“传女不传男”有研究发现,PCOS是一种多基因病,目前的易感基因研究涉及胰岛素作用相关基因、甾体激素生物合成、转运及促性腺激素调控相关基因和炎症因子相关基因等。通俗来说,PCOS与遗传有关,具有家族聚集性,家庭中有直系亲属罹患PCOS的女性,其自身患病风险高于其他人群。PCOS是一种复杂的遗传性疾病,目前医学领域对于其病因学认识还不充分。普遍认为,PCOS是遗传因素与环境等各因素相互影响,共同作用下,促进疾病的发生、发展。
医生建议,减少外界环境因素干扰,如控制体重增长、减少环境化合物的干扰等,可以有效改善和预防疾病发生、进展。同时存在亲属患病的女性,更需关注自身健康,一旦发现自己存在上述症状,及时就医寻求专业干预和诊疗。
4. 多囊卵巢综合征——“防治结合”PCOS患者要保持良好的生活习惯,控制体重、低脂饮食、保持情绪舒畅是第一处方。针对不同年龄阶段女性,对症施治的侧重也不尽相同。对于青春期女性,及时调整月经周期,建立良好的生活方式,以控制疾病的进展。对于育龄期、且有生育需求的女性,临床干预的重点在于帮助其卵泡发育、排卵,并协助正常妊娠。而对于年龄偏大、且无生育需求的女性,主要围绕预防糖尿病、心血管疾病、保护子宫内膜,进一步预防子宫内膜癌等后续疾病的发生。
PCOS病因尚未阐明,目前还不能治愈,但通过规范的治疗可以调整月经周期、降低高雄激素的表现、恢复排卵解决生育问题、预防远期并发症的发生。
5.多囊卵巢综合征——“助您好孕”对于育龄期女性来说,最关心的莫过于多囊卵巢综合征对生育方面的影响。多囊卵巢综合征常伴有稀发排卵或不排卵,对生育存在一定影响。通常患病女性较难自然妊娠,需医学手段加以辅助。但稀发排卵也有自然妊娠的可能。若经监测证实为无排卵不孕,可以在生殖医生的指导下促排卵试孕。此外,PCOS妊娠期并发症,如妊娠期高血压、妊娠期糖尿病、羊水过多的发生风险显著增加。因此,怀孕前应控制体重,将相应指标调整至正常范围。
在临床诊疗中,常遇到PCOS女性自然妊娠成功,但最终都会经历流产。目前关于PCOS是否增加流产率尚无定论,存在争议。有研究认为PCOS与正常人群比较,两者之间的流产率相当。但也有研究表明,PCOS患者流产率高于非PCOS患者。虽然“流产率之争”还需要更多研究来证实,但有一点可以肯定的是,即使PCOS患者流产率高于非PCOS患者,这种差异也不会很大。
6.多囊卵巢综合征——“育后攻略”随着健康理念的提升,越来越多女性不仅关注疾病本身的治疗,也对PCOS对自身健康的远期影响产生了焦虑。有临床研究证实,PCOS的确会增加胰岛素抵抗、糖尿病、高脂血症、心血管疾病、子宫内膜癌等疾病的发生风险。据统计,PCOS女性罹患子宫内膜癌的发病率升高,其发病风险是正常女性的3倍。由于稀发排卵,子宫内膜长期受单一雌激素刺激,容易发生子宫内膜病变。PCOS患者子宫内膜癌多为子宫内膜样腺癌,雌孕激素受体阳性率高,预后较好。尽管如此,PCOS女性需要关注子宫内膜变化,防止子宫内膜增生,预防子宫内膜癌的发生。
一般而言,针对症状轻、月经轻度紊乱、无高血压、无高血脂、无肥胖表现的PCOS女性,可不需要治疗,注重生活调理即可——少吃多动。月经不调严重,且有毛发增多、痤疮等表现者,可口服短效避孕药,或周期性服用黄体酮,避免子宫内膜过度增生或内膜癌,保护子宫内膜。生育后仍有代谢问题、糖耐量异常者,仍要坚持相应的药物治疗,打好“持久战”,降低远期并发症。
多囊卵巢综合征,虽然病因复杂且无法完全治愈,但在专业医生的指导下辅助药物治疗,并结合饮食控制和身体锻炼,PCOS女性完全可以保持正常月经周期,生育健康后代。
本文作者:张平(中国福利会国际和平妇幼保健院辅助生殖科 副主任医师)